9:00~12:30 / 14:00~17:30
診療案内
〒320-0041 栃木県宇都宮市松原2-7-10
Column
新着情報
カテゴリー
みなさん、こんにちは院長の江俣です。
先日患者さんから治療後のお手紙をいただきました。 海外旅行に行って、おいしい食事を楽しまれたそうです。
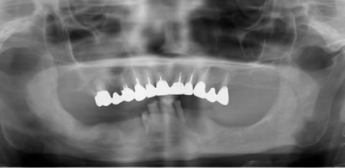
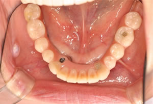
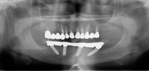
奥歯に骨がないので、オールオン4で即時荷重(インプラント手術をした日に仮歯がはいる)をおこないました。
治療後