歯周病が治ってくるときの2つの注意事項
みなさんこんにちは宇都宮市で歯科医院を開業している江俣です。
6月4~10日は 歯の衛生週間です。とういことで歯周病のお話しをしますね。
歯周病が治っていく過程で2つの注意事項があります。
(1) 歯と歯の間に隙間ができ食べ物が詰まりやすくなる。
(2) 歯が凍みる。
当院では歯周病治療を行う前に患者様に必ず上記の事を説明し治療にあたります。健康な『歯肉の形態』は、歯肉の下にある歯を支えている『骨の形態』に依存します。初診時に腫れ上がっていた歯肉は、歯周病治療していくと歯肉が引き締まり、レントゲンで見ることが出来る骨の形態に近似するように歯肉が治癒していくからです。これは健康な治癒状態を意味しますのでご心配ありません。
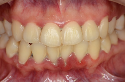
初診時
下顎前歯に注目してください

3週間後
患者さんの清掃が良好で歯肉が引き締まってきました。このタイミングで『歯肉縁下歯石』を徹底的に除去していきます。
