You never use your closer in the middle of the game! リリーフエースは9回まで温存してください!
みなさん、こんにちは宇都宮市で開業している、院長の江俣です。
毎日猛暑が続きますね。そんな猛暑の日曜日、いつもお世話になっている先生の講演を拝聴してきました。
講演の演題は「You never use your closer in the middle of the game!」日本語に訳すと「リリーフエースは9回まで温存してください! 」とう意味です。「リリーフエース」とはインプラントのことです。
インプラント治療は患者さんのQOL(生活の質)を向上するのに大きく貢献する有用な治療オプションですが、できる限り天然歯を温存する治療計画をたてましょうという内容でした。
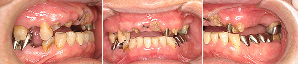
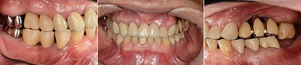
67歳男性の方です。初診時は、本人も上顎の歯すべて抜歯になり、総入れ歯を覚悟していたそうです。できる限り天然歯を温存し、治療は1年8ヶ月という長い期間かかりましたが、包括的な総合的治療により患者様に大変喜んで頂けるゴールを迎える事が出来、先日メンテナンスへ移行しました。
この患者様は、当医院まで片道1時間半もかけて来院して頂いていました。いつも明るく元気に前向きに治療を受けられていた患者様の努力が良い結果に結びついたと思います。
初診時


治療終了時

