前歯の隙間が気になります。歯を削らないパーシャルラミネートベニヤ
みなさん、こんにちは宇都宮市で歯科医院を開業している院長の江俣です。朝夕はかなり涼しくなりました。
新着トピックスではお問い合わせの多い内容や、医院であった出来事などを書き綴ってますが、若い女性の方の「前歯の隙間が気になる」問い合わせが多いですね。
前歯の隙間の治療の第一選択は矯正治療をお勧めしますが、費用や治療期間が長くなるのが欠点です。
治療期間の短縮でラミネートベニヤ治療がありますが、歯に表面を少し削らないといけない欠点があります。しかし現在歯科技工の進歩で、適応症なら(前歯の形態)歯を全く削らなくてもラミネートベニヤ治療が可能です。
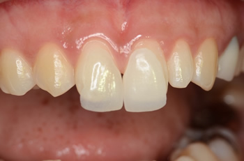
28歳女性 9月にまで治療を終了したい。
治療前


外側の隅角部(カーブしている)までラミネート治療をおこない自然観を出す点がポイントです。
ラミネートベニヤです。イメージはコンタクトレンズのようです。
技工士の技術力が治療結果を左右します。
歯は全く削ってません。
治療後
