咬合再構成
みなさん、こんにちは院長の江俣です。
連休はいかがお過ごしでしたか?私は知り合いの先生との会食で楽しい時間を過ごすことができました。

最近のインプラント・ケースをお伝えいたします。
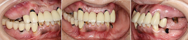
患者さんは40歳代の女性 重度の歯周病です。歯の本数が少なくなり噛み合わせを維持することができなくなる咬合崩壊がおこってます。そのために崩壊した噛み合わせを出来るだけ崩壊以前の元の状態にもどす咬合再構成が必要になります。フィスボウトランスファー(必要ないという先生もいますが、その人の咬み合わせを再現するときとても重要な診査です)をおこない、仮の適正な咬み合わせ(中止位)を咬合器(咬み合わせを再現させる装置)で再現し、理想的な咬み合わせのゴールを設定し(診断用ワックスアップ)、プロビジョナルレストレーション(治療用の仮歯)に置き換えていきます。それに合わせた位置にインプラントを入れていく必要があります。インプラント治療は目的でなく手段です。そして可能な限り天然歯(自分の歯)を残す歯周病の治療を行います。
初診時


フェイスボウトランスファーをおこない、中心位で咬合器につけました。咬合診断し、ポイントは咬み合わせの低下がみられたので、3㎜高くしました。
診断用ワックスアップです。

プロビジョナルレストレーションに置き換え、適正な咬み合わせに調整していまます。

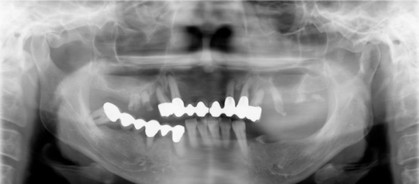
上顎奥歯のインプラント治療はサイナスリフト(骨造成)をおこないました。

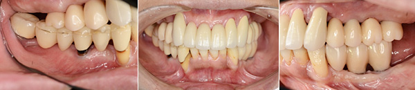
治療後


重度の歯周病で咬み合わせがなくなった治療は、歯周病の治療やインプラントを埋入するだけではなく、咬合診断をおこない咬合再構成が必要になってきます。