根分岐部病変の治療 トンネリング
みなさん、こんにちは宇都宮市で歯科医院を開業している、江俣です。
今回は歯周治療の中でも、もっとも難しいものの一つに根分岐部病変の治療のお話しです。根分岐部病変とは歯根が2本以上ある歯の歯根の分岐部まで進行した歯周病を「根分岐部病変」と言います。根分岐部は歯石の除去が難しく、患者さんにとっても歯ブラシが難しい場所です。このため根分岐部病変を抱えた歯は症状が現れにくく、治療方法が困難です。

根分岐部病変の治療法
1度 (初期) : スケーリング・ルートプレーニング
2度 (部分期) : 歯根分割 抜根 エムドゲイン
3度 (全体期) : 歯根分割 抜根 トンネリング 抜歯
さっさと抜いてインプラント、ではなく、根分岐部病変をどう考えてどう生かすかが歯周病専門医の姿勢や力量だと思います。
では根分岐部病変3度でトンネリングをおこなった治療方法を紹介します。
患者さんは41歳男性の方です。主訴は「歯がぐらぐらして咬めない」
トンネリングとはIII度の根分岐部病変のとき、歯周外科をおこない、歯ぐきや骨の形を修正し、根分岐部に歯間ブラシが入るスペースを作り歯間ブラシできちんと磨くことにより進行を防ぎます。
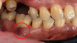
治療前


赤丸の部位が根分岐部病変が3度です。根の間が骨がなく、黒く透過像になっています。
術中

歯周外科処置をおこない、トンネリングをおこないました。
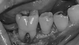
治療後


根の間に歯間ブラシが通るようになりました。しかしこの処置をするには、根の間が虫歯になりやすいので、しっかりブラッシングでき、メインテナンスに来院できる方が適応症です。
イタリアの歯周病専門医Tonettiは、「根分岐部病変は充分マネージメントが可能(歯を保存できる)である。歯根分割や抜根のために抜髄すれば歯根破折のリスクを増やす、だから生活歯(神経をとらないこと)でいきたい。できるだけインプラントに置換することは先送りしたい」と言ってます。