フェルール効果
みなさんこんにちは、宇都宮市で歯科医院を開業している江俣です。
週末は良い天気でした。私も久しぶりにゆっくりした日曜を過ごすことができましたが、今週から忘年会がはいってきますので、体調には気を付けていかないといけません。
では歯科の話にしましょう。
神経を抜いた歯(失活歯)の被せもの(クラウン)のトラブルはコア(支台築造)と呼ばれる土台からから外れることが多いです。防止策にファイバーポストで治しても効果はありません。原因はフェルール効果がないためです。フェルールとは神経を抜いた歯(失活歯)に被せ物を装着する際に、被せ物の縁よりも上に健康な歯牙部分が高さ2mm(歯槽骨から5mm)、幅1mm、が必要だと考えられています。また無理に治療しても、精密な印象採得(型をとること)を行うことができず、適合の良いクラウン(被せ物)が作れません。その結果は、クラウンと歯の間に不適合な隙間が出来て、そこから虫歯が再発してしまいます。そのためには矯正的挺出(エクストルージョン)や歯冠長延長術(クラウンレングス)などの方法で『フェルール』を確保します。またフェルールを確保することは歯根破折を防ぐ効果もあります。
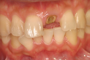
今回のケースは前歯をセラミッククラウン(自費治療)で治したが、何度もとれてしまうということで来院しました。

初診時の状態です。フェルールがありません。このままファイバーポスト、セラミッククラウンで治してもまたとれるでしょう。歯根破折する可能性も。

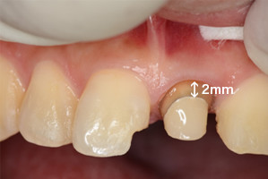
矯正的挺出をおこないます。

そのあと歯冠長延長術をおこないます。

2mmのフェルール効果ができ、ファイバーポストがはいりました。

セラミッククラウンがはいりました。
『フェルール』を獲得することが、『被せ物の安定』には欠くことのできない必須条件です。

