怖い特殊な歯周病
みなさん今日は、宇都宮市で歯科医院を開業している院長の江俣です。
昨年も歯周病で悩んでいる沢山の患者さんが来院しました。最近は「歯周病を治して下さい」から「歯周病の検査をして下さい」や「歯周病を含め口の中をしっかり調べて下さい」など予防に前向きな患者さんが増えたと感じます。しかし特殊な歯周病で非常に悩み、来院する患者さんも多いです。特に最近多いのは急性壊死性潰瘍性歯肉炎・歯周炎です。通常の治療法とは症状が違い、治療方法も違います。症状は歯肉がかなり痛く、歯磨きもできず、口臭もひどく、重症になると、発熱、頭痛、倦怠感(けんたいかん)、などが現れることもあります。18歳から30歳の成人期に見られます。
前医では、「歯磨きの時に強く磨きすぎたのでは?またしっかりブラッシングすれば治りますよ」と言われることが多いです。でも、やさしく磨いていても、一向に良くなりません。原因は口腔内を不潔にしていることですが、そこに過度なストレス、過労などにより免疫力の低下が原因といわれています。
治療法はまず抗菌剤(メトロニタゾール)の投与とクロルヘキシジン溶液の洗口が第一選択です。疼痛がひどくブラッシングはできません。またスケーリングやプロービングも避けたほうがいいでしょう。 痛み、症状が治まったあとに、通常の歯周基本治療をおこないます。
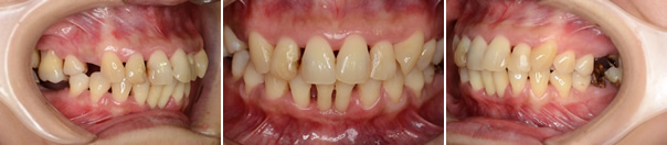
■26歳女性
海外旅行から帰国して、その後、歯を磨き始めた時、突然、歯茎に痛みが走り、肉が腐っているような口臭、口の中の激しい痛みがでました。海外旅行ではかなり疲れたらしいです。喫煙歴あり。
・初診時

抗菌剤(メトロニタゾール)の投与とクロルヘキシジン溶液の洗口をおこない、栄養指導、禁煙指導も行いました。症状が軽減した後、通常の基本治療を行いました。
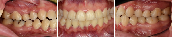
・メインテナンス時

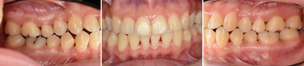
■28歳女性
仕事が忙しく、かなり疲れています。数日前に風をひき、朝起きたら、何もしなくても歯肉がズキズキ痛み、歯ブラシの毛先がちょっと触れただけで飛び上がるほど痛む

抗菌剤(メトロニタゾール)の投与とクロルヘキシジン溶液の洗口をおこない免疫力をあげて、栄養状態を改善し、十分な休息を取るるようご指導しました。症状が軽減した後、通常の基本治療を行いました。
・メインテナンス時
