モダンエンドドンティック・マイクロサージェリー(現代的な外科的歯内療法)
みなさん、こんにちは宇都宮市で歯科医院を開業している江俣です。
今週から3月ですがなおきびしい寒さが続いています。風邪などひかぬよう体調には気を付けていかないといけませんね。
では歯科の話にしましょう。
根の病気ではよくあらわれるものに、フィステルといいます。疲れたりするとやぶれて白いうみが出てきたりします。まず再根管治療をおこないます。しかし再根管治療の再発率は高く、また再根管治療を繰り返すと歯が薄くなって再治療ができなくなってしまう(抜歯になる)ことが多いのです。再根管治療で治らなければモダンエンドドンティック・マイクロサージェリー(現代的な外科的歯内療法)をおこないます。
先日、モダンエンドドンティック・マイクロサージェリー(現代的な外科的歯内療法)をおこないました。
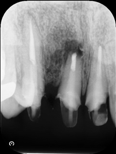
根もとにフィステル(黒)ができています。切開やレーザーを照射しても再発します。
矯正をした歯なので、根の先が吸収しています。
CT検査をしました。再根管治療をおこなっても、根が吸収してるので、歯が薄くなり、抜歯に近くなります。
モダンエンドドンティック・マイクロサージェリー(現代的な外科的歯内療法)をおこないました。
感染源を取り残していると再発の原因になりますので,確実に感染源を取り除くことが大切です。
縫合時です。眼科用メス、眼科用糸7-0でおこなうので傷口は全くわかりません。

術後のレントゲンです。
モダンエンドドンティック・マイクロサージェリー(現代的な外科的歯内療法)は従来の歯根端切除術とちがい、根管治療で治せなかった歯の大切なオプションとしてこれから重要になるでしょう。