歯肉圧排~見えないところこそ大切です。~
みなさん、今日は,宇都宮市で歯科医院を開業している江俣です。
春の日差しが心地よい週末でしたが、いかがお過ごしですか。
今回は、審美修復治療の被せ物のお話です。
審美治療の被せ物は色や形態を合わせることが重要ですが、最も重要なことは、歯肉の中で被せ物と歯をぴったりと合わせることです。良い被せ物の質を分ける決定的要因です。
綺麗に被せてあると思っていたクラウン、実は歯肉の中は全然合っていない不完全な治療が多いのです。
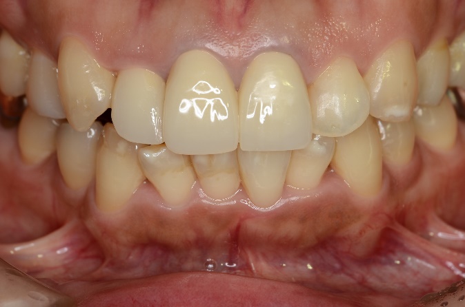
綺麗に被せているようにみえますが
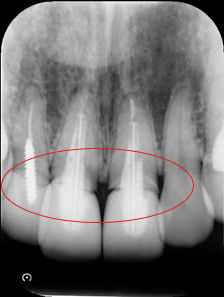
エックス線検査をすると歯肉の中で被せ物があってません。
そのために、歯と歯ぐきの境界部分に、専用の糸を挿入して境界をはっきり分けて、正確な歯型を採取し易い環境を作ります。歯肉圧排といいます。糸を入れる事でできた僅かな空間に型取り材を流し込みます。コストダウンが優先される歯型取りは寒天製の型取り材が使われますが、寒天はちぎれやすいので使えません。シリコン印象をおこないます。
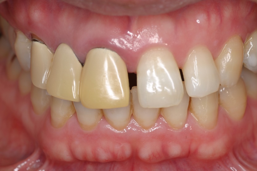
39歳 女性 「前歯を綺麗にしたい」で来院されました。
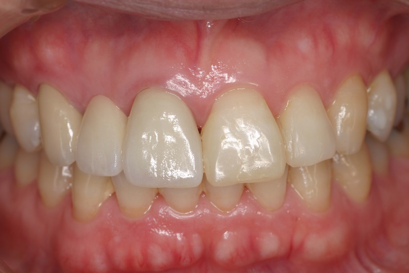
セラミッククラウンとコンポジットレジンによる審美修復治療をおこないました。
治療前
歯肉圧排をしたところ
シリコン印象
治療後
エックス線検査ではしっかりあってます。
歯肉圧排は省略しても患者さんにはわかりません。むしろやらない方が早く簡単に終わるので患者さんには喜ばれるかもしれません。しかしいくら材料が良くてもこの行程が無ければ、境目にプラークが簡単に溜まり虫歯や歯周病が再発します。審美修復治療の違いは材料だと説明される事が多いようですが、私はどのようなテクニックが使われるかだと思います。