大切なパートナー
みなさんこんにちは、宇都宮市で歯科医院を開業している江俣です。
ゴールデンウイークはいかがお過ごしでしたか?わたしは遠出せず久しぶりにゆっくり過ごしていました。
では歯科のお話しをしましょう。
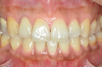
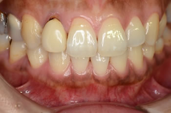
以下の写真は、ジルコニアオールセラミックにより審美歯科治療を施したケースです。どの歯を治療したかわかりますか?

治療中

治療前

このような、患者さんの個性ある歯を周りの歯と同じように違和感なく再現することは、技術力の高い歯科技工士なくしては成立いたしません。そんな中、信頼できる歯科技工士さんに出会えたことが私にとって、大きな財産だと思っています。
CAD/CAMなど、歯科技工もデジタル化が進んでいますが、変わらないことは、精密な型採りと、最後は技術力の高い歯科技工士の手が加わることが大きく影響します。

当院では歯科技工士さんが患者さんと直接お顔を合わせて、お話ししてご要望に応えられるように努め、コミュニケーションを大切にしています。