お口全体を考えた治療
みなさんこんにちは、宇都宮市で歯科医院を開業している江俣です。
週末は暑かったですね…夏が来たみたいです。
では今回も歯科のお話しをしますね。
当院では応急的にとれたところを被せたり、痛みがとれればいいとうこでなく、長期的にお口の状態を安定維持できる治療を提供したいと思っています。よって痛みなどの症状がなくても問題があればしっかり治療して、その後のメインテナンスを希望される患者さんが多く来院されます。
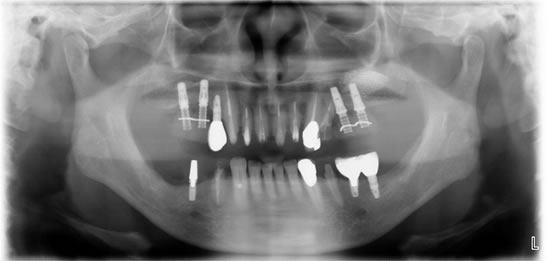
この患者さんは、以前から何回も奥歯が腫れたり、前歯の被せものが取れたりしていました。今回はお口全体をしっかり治療したいとうことで来院しました。
問題点は咬み合わせが崩壊しているため、咬合再構成しないといけないことと、以前にインプラント治療がされているので、咬合再構成するときお口にはいっているインプラントをどのように対応するかです。


治療中


現在プロビジョナルレストレション(治療用の仮歯)で咬み合わせを変え経過をみています。上顎奥歯のインプラント治療には骨が不足しているためサイナスリフトを併用しています。この仮歯をベースにして、最終的な被せものを製作していきます。
口腔全体の治療は、状態によっては時間がかかりますが、患者さんにとってとても意義のあることだと思います。