MTAセメント
みなさん、今日は宇都宮市で歯科医院を開業している江俣です。
先週は暑かったですね。関東地方も各地で猛暑日になりました。
今回は根管治療のお話しです。
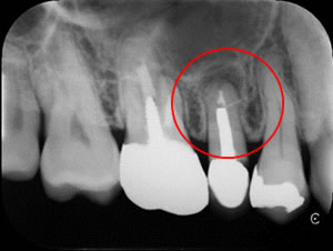
先日歯の激痛と打診痛がひどくお見えになった患者さんです。レントゲン検査で根の先端が破壊されていることが解りました。またかなり大きく深いポストがはいっていて、健康な歯質も少なくかなり難しいケースです。
治療前

このような場合MTAセメントの根管充填が適応症です。MTAセメントは親水性があるため、多少の出血があっても、硬化や硬化後の封鎖に影響が出にくく、良好な予後が見込めます。

先進国ではMTAセメントは積極的に用いられていますが2007年に「直接覆髄材料」としてのみ薬事承認されて国内でも販売されています。かなりの割高感です。
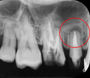
根管充填後

MTAセメントにて根管充填しました。根尖まできちんと充填されているのがわかります。この後セラミッククラウンを装着する予定です。病巣が治らないときは次の一手、外科的歯内療法をすることもあります。
UCLAエンドコースでも学んだのですが、MTAセメントは魔法の薬や魔法の治療法はありません。最も大事なのは、治療が必要な歯の検査や診断から治療の基礎手順など、治療の流れが重要でプラスアルファがMTAセメントということです。