歯はなにがなんでも残すべき?
みなさんこんにちは宇都宮市で歯科医院を開業している江俣です。
先週は暦の上では「大暑」でしたが5月並みの涼しさに日もありました。まだ関東では梅雨明けしてないみたいですね。
では歯科のお話しです。
日々の診療では歯をどうしても残したいといわれる患者さんがいます。
“出来るだけ自分の歯を残したい!”誰もがそう願うのは当然だと思います。
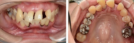
しかし歯周病が進行した歯を残しておくと、その歯を支えている骨だけでなく、隣の歯や周辺の骨まで悪影響を及ぼします。
歯周病専門医の仕事は残せない歯を残すのでなく、残した歯は患者さんがメインテナンスできるか?抜歯した後の影響はどの程度か?など総合的に判断し保存(残せる)できる歯と保存(抜歯)できない歯を的確に診断できることだと思っています。
41歳 女性の方です。歯周病が進行しているのにもかかわらず、抜歯せずに進行していて歯並びがわるくなってしまいました。
