前歯の詰め物がきになります
みなさん、こんにちは。宇都宮市で歯科医院を開業している江俣です。
今年は台風の被害が甚大です。多くの災害が報道されております。被害を受けられた方が一刻も早く落ち着いた生活に戻れることをお祈り申し上げます。
今回は、久しぶりに審美修復治療のお話です。
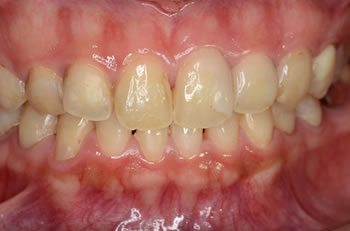
患者さんは、コンポジットレジン充填で歯の表面を治療しましたが、変色が見られ、来院しました。コンポジットレジン充填とは、虫歯の部分を削った後歯科用プラスチックを詰める方法です。
■治療前

保険用のCR(レジン)ではどうしても厚みが出て、しかも経年とともに唾液が吸収しツヤがなくなってとレジンの境目の変色も見られます。とくに広範囲のコンポジットレジン修復は審美的に問題があります。 このような場合、ラミネートベニア修復により自然観のある色調と形態を回復することができます。
ジルコニアオールセラミックとラミネートベニアの併用で治療しました。

■治療後
セラミックによりここまで色ツヤなどの質感が得られます。
患者さんは真っ白な歯はではなく、自分の歯と同じ歯の自然観の色をだしてくださいというリクエストでした。

スマイルラインも非常に綺麗です。
