エムドゲインを使用した歯周組織再生療法の適応症
みなさん、こんにちは宇都宮市で歯科医院を開業している、江俣です。
今回は久しぶりに、歯周病治療のお話です。
歯周病は基本治療や、歯周外科治療を行えば、歯周病の進行はストップしますが、骨まで破壊されていると、骨は完全に回復しません。土台となる骨がないと、歯は安定せず抜歯をしないといけなくなることがあります。そこで壊れた土台を作り治す「歯周組織再生療法」が推奨される場合が多いです。歯周組織再生療法を成功させる上で、まず一番重要な事は適応症をしっかり診断できることです。適応症を誤れば期待した再生の結果を得ることは出来ません。
適応症は広範囲に破壊されてしまった場合の再生療法は困難ですが、局所的に進行した歯周病(歯を支えている骨が狭くて深い垂直性骨欠損)です。また重度で骨の吸収が進みすぎてはあまり期待できません。
・初診時37歳の女性患者
右下犬歯部が重度歯周炎に罹患していました。出血と排膿を繰り返して不快な思いをしており、治療前に9mmの歯周ポケットがありました。状況の詳細をお話し、再生療法による治療をご提案致しました。
歯周基本治療および再生療法を施した結果、現在歯周ポケットは3mmに減少し、健康な状態を取り戻すことができました。
■治療前

出血と排膿を繰り返して、歯周ポケットは9mmでした。
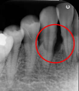
治療前のエックス線写真

歯を支えている骨が狭くて深い垂直性骨欠損です。再生療法エムドゲインの適応症です。
■術中

歯の周りには骨が破壊され、感染源も残っていました。

歯周病治療にのみ、厚労省が認可している骨移植剤 バイオスを患者さんの同意のもと使用しました。
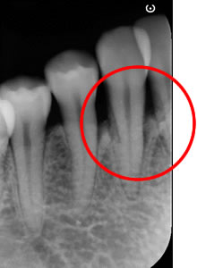
■治療後のエックス線写真

歯の周りには、歯周組織、骨が再生され歯周ポケットは3mmになりました。
歯周治療にお悩みの方は、是非ご相談ください。現状を丁寧に説明させて頂きます。