慢性歯周炎の患者さんの包括的治療
みなさん今日は、宇都宮市で歯科医院を開業している江俣です。
週末は宇都宮市森林公園でジャパンカップ・サイクルロードレースされ、今年も宇都宮は盛り上がりました。土曜日のクリテリウム(宇都宮市中心部を閉鎖して短い距離を周回して競うレース)だけでも観たかったですね。
では歯科のお話をしましょう。
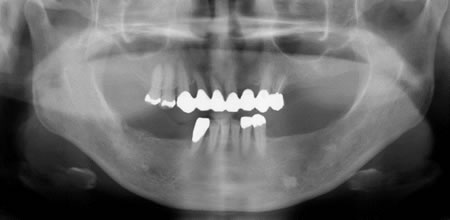
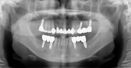
先日 咀嚼障害と審美障害を主訴に来院された慢性歯周炎の患者さんの包括的治療が終わりました。入れ歯は選択枝から外され、固定性を強く希望されたので、包括的治療をおこないました。包括的治療とは、歯科治療において必要と思われるすべての治療(歯周病治療・根管治療・インプラント治療・矯正治療・補綴治療・咬合回復治療・審美歯科治療をおこない、咬み合わせの調和が達成できていることです。
■治療前


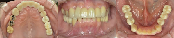
■治療後


患者さんは美味しく食事ができ、人前でも笑うことが出来るようになったと大変満足していました。食べる喜びを取り戻すことができ、美味しく食事を摂ることは何事にも替えられないものがあると痛感されていました。