歯周病専門医による矯正治療II
みなさんこんにちは、宇都宮市で歯科医院を開業している江俣です。
週末は良い天気でした。私の住む宇都宮市も紅葉が綺麗です。
今回は歯周治療と矯正治療のお話です。
歯列矯正は美しさのためだけでしょうか?
歯並びの良し悪しは,歯とお口全体の将来を大きく左右します。 歯並びが悪いと歯周病にもなる可能性が非常に高まります。 なぜなら,折り重なった歯はプラークコントロールが絶対的に不良になる箇所が出来るからです。当院では歯並びと歯周病との因果関係を適切に診断し、矯正治療は歯周病専門医である私自身がおこなっています。
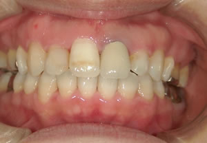
治療前
41歳 女性の方です。前歯の歯並びを治したいという主訴で、当院に来院しました。精密検査を行うと、歯周病がかなり進行していました。専門的歯周病治療を行ったあとで矯正治療をおこないました

矯正治療中

治療後

このあと前歯の被せ物、不良の詰め物を治していきます。