マイクロデンティストリー3
皆さん今日は、宇都宮市で歯科医院を開業している江俣です。
春の訪れを感じるこの頃ですが三寒四温とも言われるように寒暖差が激しいですね。
今回もマイクロデントストリーのお話です。
マイクロスコープは日々必要に応じて幅広く活用できます。
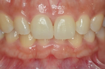
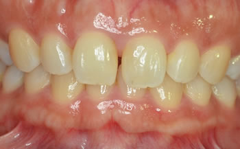
審美歯科でもマイクロスコープを使用することにより、歯肉の形成や歯の形成などの肉眼では確認できない細かな部分までを精密に行え、非常に見た目が良く歯にピッタリと合ったキレイな歯を作り出すことができます。
マイクロスコープを使用しコンポジットレジンでおこなった症例を紹介します。
■治療前
■治療後
マイクロスコープを利用することによって、より精密な治療が行えるので、無駄に歯を削る心配がありません。