根管充填
皆さん、今日は。宇都宮市で歯科医院を開業している江俣です。
今回は根管充填(根の治療に最終的に詰める薬)のお話です。
根管充填とは、ワインのビンのコルク栓のように根の先迄ぴったり蓋を しないと、空洞部分に細菌が住みつき根っこの先の骨を吸収したりして、根尖病変と言う物を生じさせてしまいます。
当院では欧米の根管治療の専門医の多くがおこなっているcontinuous wave condensation technique(通称CWCT)を採用してます。根管を3次元的にすき間を極力なくして根充剤(根管治療の最後につめる薬剤)を緊密に圧入していきます。従来の根充法(ラテルル根管充填法)より格段にむずかしいテクニックですが、その分、より確実な根管充填ができます。
先日施術したCWCTで根管充填した治療例を紹介します。
40歳 女性
主訴 右上奥歯は咬むと痛い
治療前根管治療のレントゲン診査は2枚のレントゲン撮影(2方向)が必要です。
(1)では3根しか写っていません。

(2)。角度をかえることで、病巣の大きさや、根の彎曲など様々な情報が可能になります。
赤丸に病変があり、根管充填が不完全です。

治療中
従来の根管治療は見えない歯の中をレントゲンを参考に、勘に頼りながら行う手探り治療でした。マイクロスコープ(手術用顕微鏡)を用いる事により歯の内部構造や感染源を直接見ながら治療ができるようになり、成功率が大幅にアップします。


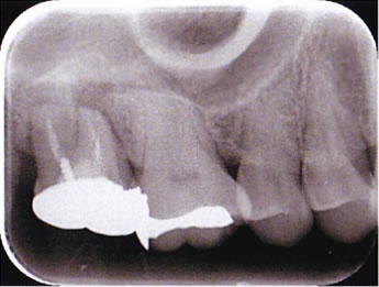
治療後
根管充填は欧米の根管治療の専門医の多くがおこなっているcontinuous wave condensation technique(通称CWCT)で行いました。

CWCTで使用するシステムです。
治療後のレントゲン 2方向から撮影してます。

術前のレントゲンと比較し、緊密に薬が詰まっています。