抜歯をしてインプラントをしましょう
みなさんこんにちは、江俣歯科医院院長、歯周病・インプラント専門医の江俣です。
当院には他の医院で「この歯を残すことは無理です、抜歯をしてインプラントをしましょう」と言われた患者さんが多く来院します。精密検査をおこない抜歯と診断することもありますが、安易に抜歯してインプラントという考えが多いように感じます。もちろん適応症がありますが、歯科医師はまず、歯を残すことに全精力を注ぐべきであり、天然歯を保存するため日々研鑽しないといけません。当院では歯周組織再生療法や自家歯牙移植、マイクロスコープを用いた歯根端切除術など最先端の技術で対応しています。
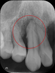
先週も他の医院で歯周病が進行しているので、抜歯してインプラントを勧められた患者さんが来院されましたが、エムドゲインによる歯周組織再生療法で対応しました。

赤丸の部位は根元まで骨がありませんが、隣の歯に骨があるのでエムドゲインによる再生療法の適応症です。