―歯周補綴― 進行した歯周病にインプラントを使わない治療
みなさん、こんにちは江俣歯科医院院長、歯周病指導医・インプラント専門医の江俣です。
歯周治療や補綴治療で矯正医に矯正治療を担当してもらうと、意思の疎通がとれないことや、治療の時間軸が直線的になり治療期間が長くなるデメリットがあります。当院では、歯周治療、矯正治療、補綴治療を一人の歯科医師が行うため、いつくものメリットがあります。
その威力を発揮するのは歯周補綴です。歯周補綴とは歯周病の進行により「グラグラ」してしまった歯を、歯周外科・矯正治療・補綴治療を駆使し総合的に対処することで可能な限り歯を残す方向で対処する治療法です。歯科治療の中で最も難しい治療と言われています。
先日歯周補綴が終わった患者さんです。
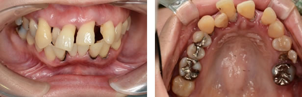
■ 初診時
40代女性の方です。
重度に歯周病が進行して、他の医院で、ほとんどの歯を抜歯しないといけないと診断されたそうです。切実なケースです。

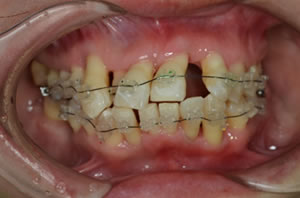
歯周治療終了後、矯正治療を開始しました。

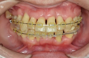
矯正終了

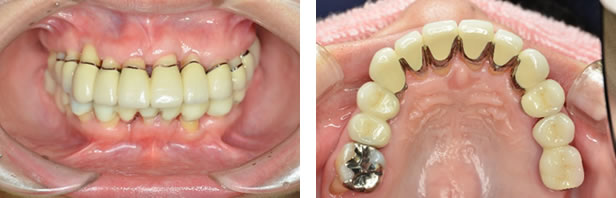
歯周補綴が終了しました。

患者さんはしっかり咬めると喜んでいただきました。患者さんの主訴を改善するとともにできるかぎり歯を保存ができました。