「今日、生まれて初めて歯医者さんに来るのがが楽しいと思いました。」
みなさん、こんにちは。江俣歯科医院院長、歯周病指導医・インプラント専門医の江俣です。
先週は朝いちばんの患者さんがとてもニコニコして診察室に入ってきました。
その時、患者さんから言われた言葉は、「今日、生まれて初めて歯医者さんに来るのが楽しいと思いました。」
今日はインプラントの仮歯が入る日だったんです。
どうしても入れ歯が馴染まず悩んでおられたので喜びひとしおです。
私たちも嬉しい1日になりました。
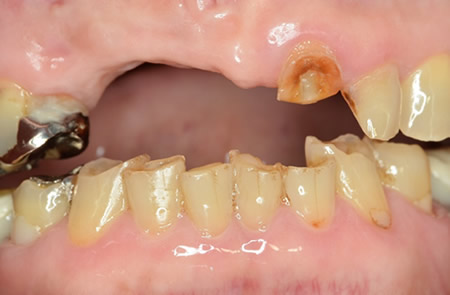
治療前
上顎の前歯、下顎奥歯の歯がない、すれ違い咬合です。入れ歯で相当苦労されていました。


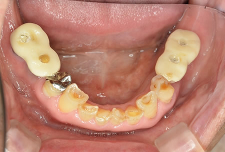
インプラントの仮歯が上顎、下顎はいりました。」これから噛み合わせの調整、歯肉の調整をしていき最終的被せ物にしていきます。

