歯周病治療は糖尿病に効果があるのですか?
みなさん、こんにちは。江俣歯科医院院長、歯周病指導医、インプラント専門医の江俣です。
先週、抄読会での発表のため、いくつもの歯周病治療と糖尿病の関係の論文を読み込みました。改善効果がある論文もありますが、否定的な論文も存在します。しかし糖尿病と歯周病に密接な相関関係があることは、ほぼ間違いありません。また歯周病が治っても、咀嚼障害、咀嚼低下があると,血糖コントロールを乱す可能性があり、しっかり咬めないと糖尿病は悪化します。
先週来院された患者さんは9年前に糖尿病で加療中に歯周病の治療、インプラント治療を行った結果、しっかり咬めるようになり糖尿病が改善した患者さんで、メインテナンスで来院しました。
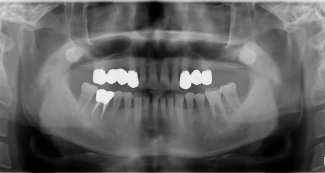
■初診時
9年前、他の医院で歯周病が進行し、上顎の歯はすべて抜歯して、総入れ歯にしないといけないと言われたそうです。血糖コントロールにはよく噛むことが大切ですが、入れ歯はどうしても咀嚼障害がおこり、噛み応えのない糖質の摂食も多くなります。

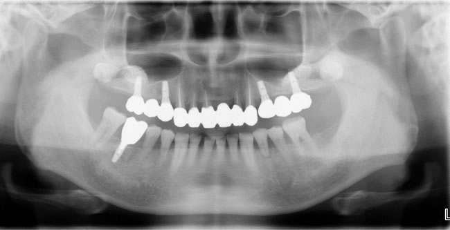
現在 メインテナンスに入り7年経過しています。
歯周病治療、サイナスリフト(骨造成)をしてインプラント治療をおこない、健康的な生活を維持でき、糖尿病も安定しています。

患者さんはインプラントによって奥歯がしっかり咬めるため、噛み応えのある高蛋白質の食べ物を美味しくいただけるそうです。