歯科医院から紹介をいただいた患者さん
みなさん、こんにちは。江俣歯科医院院長、歯周病指導医・インプラント専門医の江俣です。
先週から日に日に暖かくなりましたね、日も伸びてきました。春の訪れを感じているのか、木々の蕾もぷっくりと膨らみ始めました。
他の歯科医院の先生から、重度歯周病、インプラントの患者さんのご紹介いただくことが増えています。ありがたいことです。
先日、県北の同窓生の先生から紹介いただいた前歯のインプラントの患者さんの治療が終わり、紹介いただいた先生から連絡がありました。
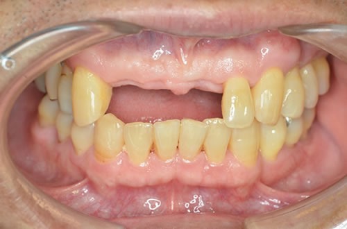
■初診時
前歯の歯がなく、入れ歯を使用しているのですが、固定式(インプラント)を希望され紹介いただきました。

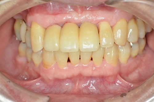
■治療後


患者さんも、ご紹介いただいた先生にも喜んでいただきました。