入れ歯・ブリッジの欠点とは?
専門医・指導医が解説する「残った歯を守る」選択肢
「たかが1本くらい…」と思ってしまいがちですが、歯を1本失うと、かみ合わせや見た目・健康はゆっくりと、しかし確実に崩れていきます。噛みにくいことで丸呑みが増え、胃腸に負担がかかる。会話や笑顔が減り、外出が億劫になり、気分の落ち込みの原因になることも。まさにドミノ倒しのように影響が広がっていくのです。

そこで今回は、入れ歯・ブリッジの欠点を踏まえながら、「歯を守る」という視点でインプラント治療との違いを、宇都宮で長年診療を続け、「日本口腔インプラント学会専門医」および「日本歯周病学会専門医・指導医」の資格を持つ立場からわかりやすく解説します。
●「新聞が読めなくなった」―ある患者様の事例
実際にある60代の患者様は、転倒による入院時に誤嚥防止のため入れ歯を外されてしまいました。その結果、わずか3ヶ月で新聞の読み方が「文字を指でなぞるだけ」に変わり、認知症と診断されてしまったのです。歯を失う影響は、これほどまでに脳へ直結しています。
-
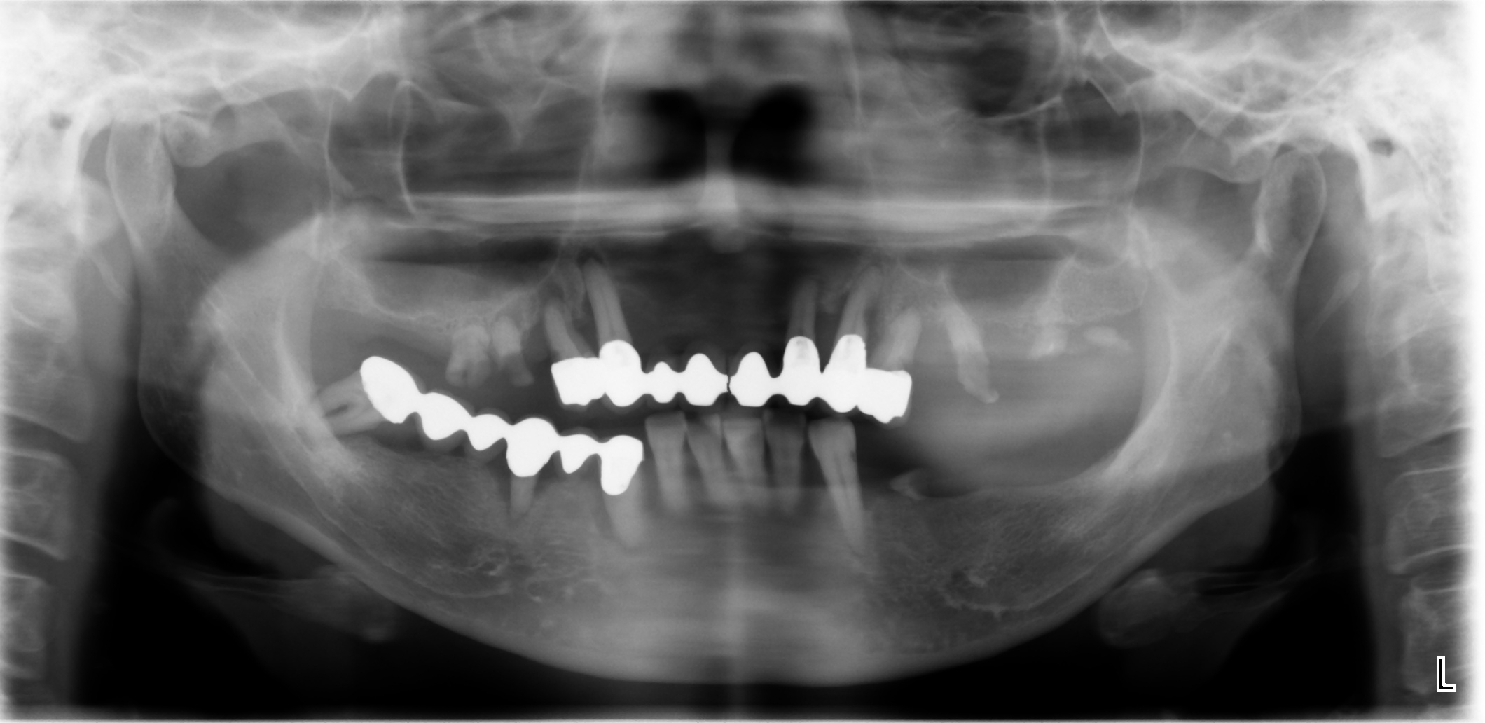
治療前写真1(パノラマX線写真)

-
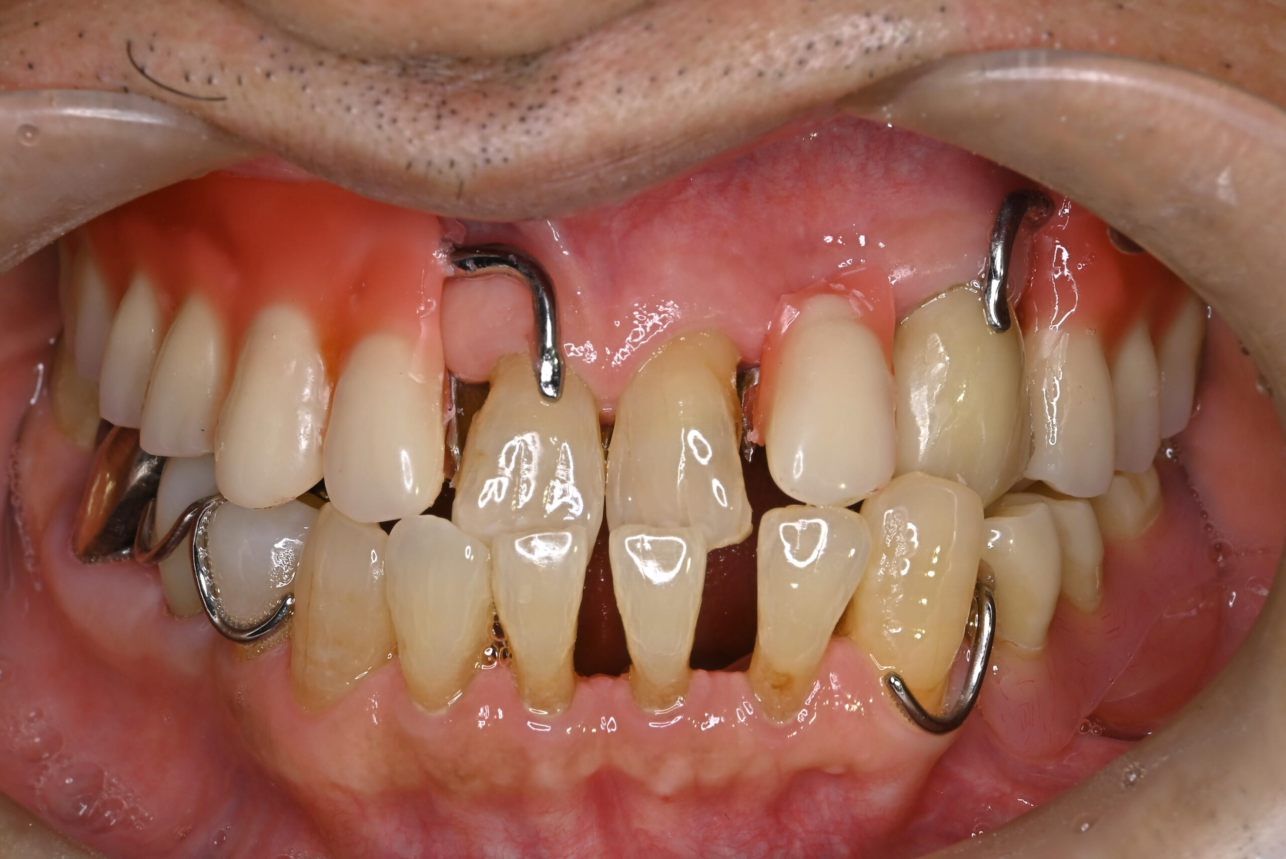
治療前写真2(口腔内写真)

-
治療前写真3(口腔内写真)

-
治療前写真3(口腔内写真)

歯を失うと「その人らしさ」まで失われる?
そこで当院では患者様にこう伝えています。「死ぬことより怖いのは、自分が自分じゃなくなること。家族に迷惑をかけること。」
歯を失うことは見た目や食事だけの問題ではなく、“その人らしさ”を守ることにも深く関わっています。かみ合わせは健康寿命と密接な関係があるため、1本の歯をどう守るかが、未来の自分を守ることにつながります。
「入れ歯・ブリッジ」では止められない?
歯が抜けた場所を補う治療として、昔から使われているのが入れ歯とブリッジです。
しかし、それぞれに欠点があり、「残った歯を守れないケース」が少なくありません。
入れ歯の欠点

さらに、入れ歯は歯ぐきの上に乗っているだけなので、
- 短い治療期間で済みます
- ホワイトニングで白くできなかった歯でも白く自然な仕上がりになります
- 治療時に前歯の隙間を整えることが可能です
- 歯を削る量が少ないため、治療後のむし歯になる可能性も低くなりますし、処置の痛みもほとんどありません
といった、装着感に対する不満も少なくありません。
入れ歯の満足度

ブリッジの欠点

つまり、一時的には快適でも、支えとなる歯がダメになれば再治療が必要になり、結果として歯を失う連鎖を早めてしまう危険性がある治療ともいえるのです。
噛めるところだけで噛む」悪循環

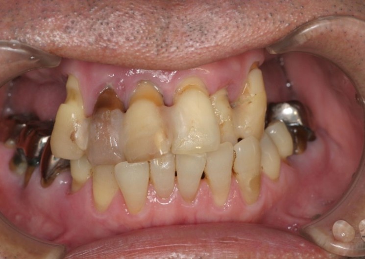
【症例】40代で「総入れ歯」と宣告された絶望からの回復
重度の歯周病により、他院で「総入れ歯にするしかない」と診断された40代の男性のケースです。
「まだ若いのに、会話中に外れるかもしれない恐怖と一生付き合うのか」患者様はそんな深い絶望を抱えて当院に来院されました。
-
治療前(口腔内写真)

-
治療前(パノラマX線写真)

当院にて、歯周病治療で口腔内環境を整えた上でインプラント治療を行った結果、ご自身の歯のような見た目と噛み心地を回復。「人前で笑えるようになった」「食事が美味しい」と、健康な人と全く変わらない人生を取り戻されました。
-
治療後(口腔内写真)

-
治療後(パノラマX線写真)

インプラントが「残った歯」と「健康」を守る
入れ歯やブリッジが「周囲の歯に頼る治療」であるのに対し、インプラントは顎の骨にしっかり固定され、自立して機能する人工の歯です。抜けた歯の位置に新たな支柱を再建するイメージで、「歯を失う前の状態に近づける治療」と言えます。
噛む力を取り戻すことが全身に与える良い影響

骨が痩せるのを防ぎ、見た目の変化も予防

骨が減ると口元がへこみ、しわが深く見え、老けた印象になるため、顔貌の変化は大きな問題です。
インプラントは噛む刺激を骨に伝えられるため、骨の吸収を防ぎ、若々しい顔つきの維持にも役立ちます。
まとめ
入れ歯やブリッジは「空いた場所を埋める」対症療法ですが、インプラントは「残った歯と全身の健康を守る」ための根本的な治療です。「今は1本だけだから」と諦めず、5年後、10年後もご自身の歯で噛める未来を選んでいただきたいと願っています。

現在の入れ歯やブリッジに不安がある方、他院で抜歯と言われた方も、まずは一度、専門医のいる当院へご相談ください。
インプラントはゴールではなく、その後の豊かな人生へのスタートラインです。再びしっかり噛める喜びを取り戻し、健やかな毎日を送るために。当院の治療方針にご共感いただけましたら、まずは一度、お気軽にご相談ください。
▶ 電話 028-643-2525
▶ お問合せフォーム
▶ 住所:栃木県宇都宮市松原2-7-10、アクセスページはこちら