インプラント周囲炎2
インプラント周囲炎にさせないためには歯周基本治療からはじめる必要があります。専門的には歯周基本治療をおこないPCR値(磨き残し)が20パーセント以下、 BOP(お口からの出血率)9パーセント以下、 の状態にしてからインプラント治療を行います。当院では患者さんがインプラント治療を希望してもこの数値がクリアしないとインプラント治療は行わないようにしています。
よってインプラント治療は歯周治療の流れの中の一つにくみこまれていると考えてください。
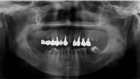
下のレントゲンと口腔内写真は先日インプラント治療が終わった患者さんの初診時です。
いままで仕事が忙しく、口内清掃が不良で歯が喪失していました。
仕事をリタイヤし、これからの人生を快適に過ごすため口腔内をしっかり治したいので来院されました。
Before
歯石の沈着、プラークコントロール不良で、歯肉の発赤がみられます。

奥歯は歯周病、虫歯を放置していたため歯が喪失しています。

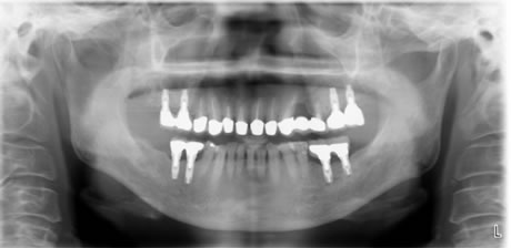
治療後のレントゲン、口腔内写真です。
奥歯すべてにインプラント治療を行いました。歯周基本治療をおこない歯肉の発赤もなく、PCR20パーセント以下、BOP9パーセント以下です。
綺麗な口腔内になりました。
After

このあともインプラント周囲炎にならないようにメインテナンスに来院していただきます。
