9:00~12:30 / 14:00~17:30
診療案内
〒320-0041 栃木県宇都宮市松原2-7-10
Case
症例紹介
カテゴリー
患者さんは14歳の中学生女の子です。当院のホームページを見て宇都宮の東方から時間をかけてお母さんと一緒に来院されました。前歯を数年前に神経をとってしまったので向かって右の前歯が変色してます。年齢的に前歯は気になりはじめますよね。ラミネートも綺麗にしあがりますが、20歳前は出来るだけ前歯は被せないほうがよいですよ。
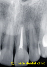
レントゲン像 向かって右の白い部分は神経をとってしっまたからです。
歯はまったく削ってません。