9:00~12:30 / 14:00~17:30
診療案内
〒320-0041 栃木県宇都宮市松原2-7-10
Case
症例紹介
カテゴリー
差し歯のまわりの歯肉が腫れています。
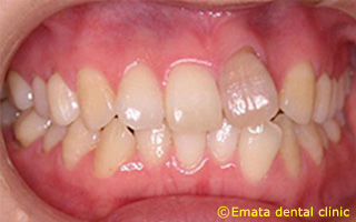
矯正終了後 漂白治療前
漂白剤注入
弱感オーバー(白すぎ)かもしれませんが、患者さんは治療結果に大変満足していただきました