9:00~12:30 / 14:00~17:30
診療案内
〒320-0041 栃木県宇都宮市松原2-7-10
Case
症例紹介
カテゴリー
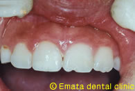
スケートで転倒し前歯を折って来院しました。
歯の神経も露出しています。
折れた歯は持ってこられました
神経もとらず、接着した歯にも問題はありません。小学生だった患者さんは大学生になりました。