審美歯科の治療例
究極の審美性素材ジルコニア
(ジルコニアオールセラミッククラウンを希望される患者様が増えてます。)
ジルコニアとは人工ダイアモンドとして有名で歯科領域では究極の審美性素材として今、大変注目を浴びています。従来のオールセラミッククラウン(金属を使用していない差し歯)の割れやすい欠点を解決し、セラミッククラウン(金属を使用した差し歯)に比べて光の透過性が高いので、透明感、自然感が得られもっとも天然歯に近く仕上がります。また金属を一切使わないため、口腔内環境(金属アレルギー)にも安心してご利用いただけるという利点もあり、現時点では最も理想的と考えられている材料です。

ジルコニアオールセラミッククラウン
48歳 女性。 できるだけ白く希望され、ラミネートベニヤ ホワイトニングもおこないました。
Before


After

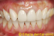
54歳 女性 年齢にあった色調に再現できました。
Before


After

27歳 男性 営業マン 「お客様と話すとき前歯が汚いと仕事にも影響する」といことでジルコニアを選択され満足していただきました。
Before


After

