歯周外科 ジルコニアオールセラミッククラウン
笑ったときに歯肉が見えるのもいや
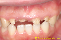
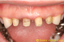
Before

保険治療のクラウンがはいってます。色 形態もおかしいですし、歯肉も腫れています。

笑ったときに歯肉が露出する状態をガミースマイルといい、審美的に魅力的でないといわれています。 ガミースマイルの改善も希望されました。してほしい。ガミースマイル改善のためには歯周形成外科が必要です。

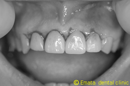
術前のかぶせ物です。

被せ物をはずすと虫歯のオンパレードでした。やはり我々は、きちんとした材料を用いて精度の高い治療をしなくてはなりません。

審美歯科の原理原則をもとに、最終的ゴールのかたちをつくります。これを診断用ワックスアップといいます。

仮歯におきかえました。プロビジョナルとはちがいます。業界用語でtek(テック)といいます。

診断用ワックスアップをもとにモックアップをつけてもらいもらいます。
モックアップとは、とりはずしのできる仮歯の一種です。本来、最終的な歯肉の位置、大きさが決まっていません。そこで、患者さんと最終のイメージを確認する為に、短期間入れていただく仮歯が必要となります。それがモックアップと呼ばれるものです。
仮歯tek(上の写真)と比較するとちがいが分かりますね。

モックアップを使用し慎重に切開線をメスでいれます。切開線が予後を決定します。

5ミリルールにしたがい慎重に骨整形をおこないます。

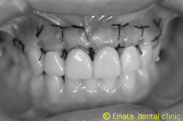
縫合も単純におこなってるのではなく、歯肉をきめられた位置にするため、繊細さが求められます。

3ヶ月後、3ヶ月は最低まちます。

5ヶ月後。歯肉も熟成してきました。印象にはいれます。オペして5ヶ月も待つのですか?と思いますが、審美歯科治療は時間と手間がかかります。
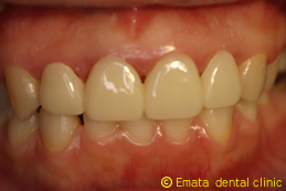
After

最終プロビジョナルで微調整しています。患者さんはむかって左の歯を短く中に入れてほしいという要望がありました。