セラミッククラウンブリッジとラミネートベニヤによる治療例
セラミッククラウンブリッジとラミネートベニヤ による治療例
■ セラミッククラウンとは
色や形を調整し天然の歯のそっくりに仕上げることができます。噛み心地も自分の歯とかわりません。プラスチックのような収縮や変色もなく、一時しのぎではなく、強さと美しさをあわせもった最高度の技術です。
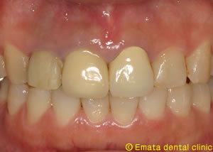
Before
前歯が歯肉が時々腫れて、差し歯の色、形もきになるので、この際きれい治したいといことで来院されました。前歯5本をセラミッククラウンとラミネートベニヤで治療しました。

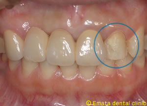
1歯のみラミネートで治療しました。
After
