よりきれいで長持ちをするクラウンをつくるために
よりきれいで長持ちをするクラウンをつくるために
クラウン(被せ物)によって歯の色や形は修正できますが、虫歯などが歯ぐきの中まで進行している場合には、健全な歯質を歯ぐきのうえに出してあげることによって、より長持ちするクラウンを作成することが可能になります。そのために事前に歯ぐきの手術クラウンレングス(歯冠長延長術)を行ったほうがよい場合があります。また歯ぐきの位置が不自然な場合もこの手術をすることによって、より自然な美しいクラウンを作ることができます。
Before
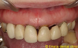
52歳女性の患者さんです。
前歯6本のクラウンの色や形がおかしい。歯肉が腫れていて違和感もあるとのことでした。
差し歯のまわりの歯肉が腫れています。

差し歯をはずしたら虫歯は歯肉の中まで進行していました。
差し歯をはずし仮歯にしたら歯肉のはれも以前よりなくなりました。
クラウンレングス(歯冠長延長術)する前です。
クラウンレングス(歯冠長延長術)を行いました。
残念ですが1歯抜歯になりました。
歯肉の状態も術前よりきれいになり歯質も十分あります。
抜歯したところは歯があるような歯肉の形態に調整します。
(オペードポンテック)
仮歯(プロビジョナルレストレーション)で患者さんが満足のいく最終的な形をつくります。
After

非常に審美的な結果に、患者様も大変喜んでおられました。
どの歯が抜歯した歯かわかりませんね。
| 治療期間・回数 | 約3ヶ月・6回(矯正治療の期間を除く) |
| 費用 | 660,000円 |
| 治療のリスク | 詰め物・被せ物の調整が難しく、割れた場合は再治療が必要。 |