抜歯即時無切開インプラントの治療例2(審美歯科)
患者様は48歳男性のかたです。前歯をきれいに治したいというご希望でした。オールセラミッククラウン(被せ物)だけで治療しても、ご希望の口元にはならないことをご説明しました。本人も矯正治療は昔から興味があったそうです。
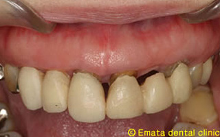
Before
向かって右2歯は神経がなく詰め物もよくないです。歯の位置も良くありません。


ラミネートベニヤとジルコニアクラウン
歯肉のラインが不調和ですが、患者さんは笑ってもまったく歯肉が見えませんのでとても
クラウンレングス(歯冠長延長術)を行いました。
残念ですが1歯抜歯になりました。
歯肉の状態も術前よりきれいになり歯質も十分あります。
抜歯したところは歯があるような歯肉の形態に調整します。
(オペードポンテック)
仮歯(プロビジョナルレストレーション)で患者さんが満足のいく最終的な形をつくります。
After

非常に審美的な結果に、患者様も大変喜んでおられました。
どの歯が抜歯した歯かわかりませんね。