028-643-2525
9:00~12:30 / 14:00~17:30
休診日
木曜・日曜・祝日
お問い合わせ
Tel
Contact
Access
Page Top
Menu
HOME
当院の特徴
診療の流れ
医院紹介
院長紹介
スタッフ紹介
アクセス
衛生管理
行動計画
お知らせ
コラム
症例紹介
お問い合わせ
診療案内
歯周病治療
審美歯科
精密根管治療
自家歯牙移植
予防歯科
インプラント
抜歯をしない治療法
外科的歯内療法
外傷
むし歯治療
〒320-0041 栃木県宇都宮市松原2-7-10
028-643-2525
お問い合わせ
診療時間
月
火
水
木
金
土
日/祝
9:00〜12:30
●
●
●
/
●
●
/
14:00〜17:30
●
●
●
/
●
●
/
最終受付
午前:12:00 午後:17:00
Case
症例紹介
HOME
症例紹介
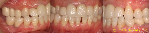
審美歯科
審美補綴治療+インプラント治療+歯周病治療
カテゴリー
歯周病治療
インプラント治療
審美歯科
抜歯をしない治療法
外科的歯内療法
自家歯牙移植
外傷
審美補綴治療+インプラント治療+歯周病治療
ALL