歯を削らないパーシャルラミネートベニヤⅠ
患者さんは25歳女性の方です。7月上旬に結婚式のためスキッ歯(正中離解)を治してほしいとホームページをみて来院しました。時間はないので矯正治療はできません。患者さんの要望は歯は削らないでほしいといことです。患者さんは正中離解のほか、歯が捻転してました。このケースは歯を削らないボンデッド(接着性)ポーセレン・レストレーションが有効です。
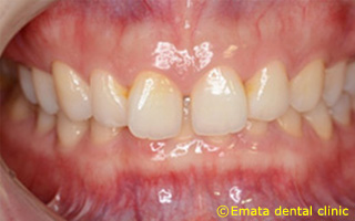
治療前
すきっ歯が以前から気になっていたそうです。7月の結婚式にあわせ治したいそうです。
歯が捻転をしています。このケースでは歯は削らないほうがきれいに仕上がります。
診断用ワックスアップ。
技工士さんと捻密に最終形態の仕上がりを議論します。
技工士さんの技術力も非常に重要です。
診断用ワックスアップからできたモックアップです。
モックアップを口腔内に合わせます。歯は全く削ってません。
モックアップをつけた状態です。数日つかっていただきます。患者さんは数分で劇的に変わったので喜んでいただきました。
治療後
