歯を削らないパーシャルラミネートベニヤⅡ
28歳女性 9月にまで治療を終了したい。
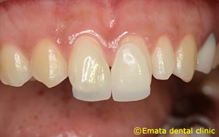
治療前
歯肉が腫脹して、インプラント周囲の骨が喪失してます。
外側の隅角部(カーブしている)までラミネート治療をおこない自然観を出す点がポイントです。
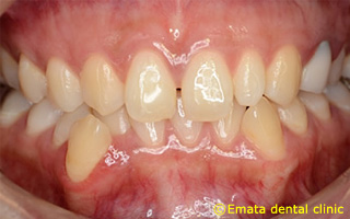
ラミネートベニヤです。イメージはコンタクトレンズのようです。技工士の技術力が治療結果を左右します。
歯は全く削ってません。
治療後
ラミネートベニヤです。イメージはコンタクトレンズのようです。技工士の技術力が治療結果を左右します。
Case
症例紹介