骨がうすいのでインプラント治療はあきらめていた。しかし健康な歯は削りたくない。 37歳 男性(骨誘導再生法【GBR法】によるインプラント治療例)
骨がうすいのでインプラント治療はあきらめていた。しかし健康な歯は削りたくない。
37歳 男性 (骨誘導再生法【GBR法】によるインプラント治療例)
37歳・男性のケース
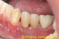
左下が抜歯になってしまい健康な歯を削ってブリッジはいやだということでした。本人はインプラントを希望されましたが骨の幅が少ないので、他の歯科医院でインプラントは不可能と言われました。
Before

骨誘導再生法をおこない骨の幅を増やす手術(GBR)をしてからインプラント埋入しました。


After
インプラントがはいったお口の状態です。

