9:00~12:30 / 14:00~17:30
診療案内
〒320-0041 栃木県宇都宮市松原2-7-10
Case
症例紹介
カテゴリー
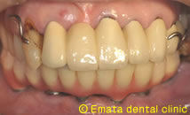
歯は1本しかないが取り外しの義歯はいやだ72歳女性
昔のように自分の歯で噛みたいとう希望でした。入れ歯が合わなくて、食事や生活に困っていらっしゃる方には、インプラントは朗報です。