GBR治療例1
患者様は、右下奥歯2本歯根歯折で抜歯することになってしました。術前の検査(CT検査もふくめて)から、抜歯しと同時に無切開でインプラントを埋入することも考えました。抜歯をして精密に診査をしましたら、骨がないことがわかりました。無切開でいくか、抜歯即時でいくか、とっさの臨床判断が求められます。
このときの臨床判断は安全確実な治療を優先し、同時にインプラント埋入はせず、2ヶ月たって歯肉が治ってからインプラント埋入しました。
骨や歯肉がある症例では抜歯即時無切開手術はとても有効ですが、速さより、安全・確実な治療を優先したいとおもってます。
Before
歯が割れてしまい、抜歯になりました。
周りの骨を壊さないように慎重に抜歯したところです。
抜歯と同時にインプラント埋入、無切開で行く予定で、抜歯の部位とドリルを合わせています。
外側の骨が欠損しているのがわかりました。
CT検査はしていますが、CTの情報が100%ではありません。
2ヶ月後に手術野をとりインプラントを入れた状態です。
外側骨がないのがわかりますね。
インプラントが骨内にはいっているので難しいケースではありません。
抜歯即時と考える先生もいると思います。
After
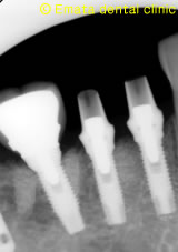
レントゲンでもインプラントのまわりの骨も安定しています。
治療後 きれいなセラミッククラウンがはいり、歯肉の状態も安定してます。
レントゲンでもインプラントのまわりの骨も安定しています。