外科的歯内療法例
精密根管治療、マイクロスコープを使用した歯根端切除術をおこない従来に比べ、かなりの歯は救え、残せるようになってきましが 根管治療にも限界はあります。治療した歯は抜かずに全部残せると思いがちです。 しかし、そうではありません。後不良となるケースとして以下のような歯です。(全てではありません)
- 根管治療のやり直しの多い歯
- 根管治療期間の長い歯(少なくとも1ヶ月以上)
- 大きな病変、病巣のある歯
- ヒビや歯根がわれている歯
- ムシ歯が根管にまで進行している歯
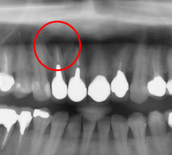
治療前
赤丸の前歯の腫れとお痛みが取れず,近歯科を受診しましたが、抜歯しないといけないといわれ当院を受診しました。患者さんはできるだけ歯を抜きたくないと強い希望がありました。

X線写真です。赤丸に大きな病巣があります。

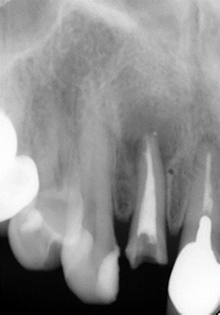
歯内療法には3次元的に診断できるのでCT検査は有効です。
CT検査で歯根破折はなく、病巣のみであれば抜歯しないで外科的歯内療法を行って歯を残せる可能性が高いです。

前処置として、再根管治療と、上部から感染する可能性がありますので支台築造(ファイバーポスト)まで必ず行います。

根の先は根管が枝別れしていて、感染セメント質が認められるので、3mm根をカットします。(3mmルール)
病巣はかなり大きくかったですが、徹底的に除去しました。

切断した、根断面をマイクロミラーで精査し、原因を究明します。 その後超音波ダイヤモンドチップで逆根管充填窩洞を形成しているところです。

MTAセメントで逆根管充填します。MTAは非常に扱いにくい材料ですので特殊なキャリア、コンデンサーを使用します。

審美部位なので切開はマイクロメスで傷が目立たない部位に慎重におこない、縫合は7-0のナイロン糸を使用します。

術直後のレントゲンです。

治療後

病巣(赤丸)は消失しています。
どんなに根の治療が良好になっても、被せものが歯とあってないと(不適合補綴物)、上部から感染をおこし失敗してします。よって精度の高いジルコニアオールセラミッククラウンで治しました。