9:00~12:30 / 14:00~17:30
診療案内
〒320-0041 栃木県宇都宮市松原2-7-10
Case
症例紹介
カテゴリー
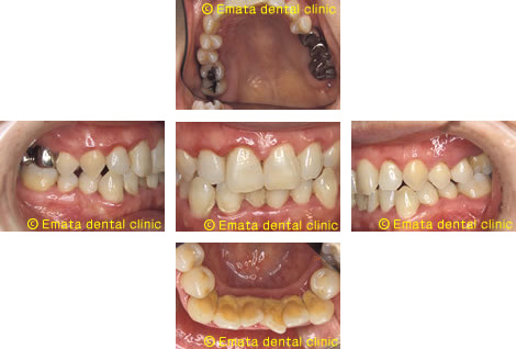
54歳・女性のケース
口臭、ブラシング時の出血、唾液がねばねばする。
非外科的に歯周病の原因である細菌や歯石を取り除く治療しました。 歯科衛生士が担当します。