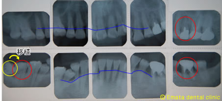
歯肉が腫れて出血する、グラグラする歯もある。43歳・男性(歯牙移植+ソケットリフト+GBRの治療例)
患者様は赤色が重度の歯周病、青色が初期から中等度の歯周病で来院されました。残念ですが赤色は抜歯の適応です。患者さんは健全な歯をけずりたくない、歯周病の歯にブリッジや義歯をいれ負担がかかりまた歯の喪失はいやなので、歯牙移植、インプラントを希望されました。
(歯牙移植+ソケットリフト+GBRの治療例)
43歳・男性のケース
歯肉が腫れて出血する、グラグラする歯もある。
Before



治療前のレントゲン(10枚法)
歯周病の進んだ部位へのインプラント治療は、骨の喪失が大きく、骨を造る治療(GBR 、ソケットリフト、サナスリフト、骨移植など)が必須になります。
After
歯肉も術前のような腫れがなくきれいな引き締まった歯肉です。



