9:00~12:30 / 14:00~17:30
診療案内
〒320-0041 栃木県宇都宮市松原2-7-10
Case
症例紹介
カテゴリー
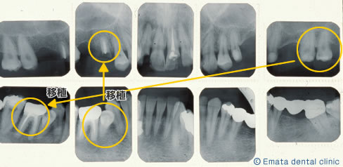
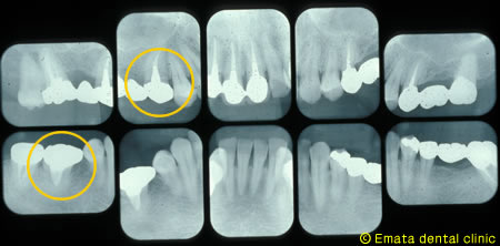
右上の虫歯が大きく、また右下の奥歯が根の病気が大きく抜歯になりました。 親知らずや内側に倒れた不必要になった歯があったので移植をおこないました。