侵襲性歯周炎について
みなさんこんにちは、院長の江俣です。
11月になって寒い日が続きますね。我が家でもついに暖房のスイッチを入れました。
今回は侵襲性歯周炎についてお話します。
侵襲性歯周炎とは歯周病のなかでも重症でなかなか治りにくく歯周病の5パーセントから20パーセント程度存在します。30代以下の若い年齢の人から発症し、通常の歯周病よりも急速に進行します。また家族の中に同じような症状の人がいることが多く、口腔内の清掃もよくやっていて、歯石もあまりついてないことが多いのです。普通の歯周病はプラークコントロールやスケーリング・ルートプレーニング、歯周外科治療などの基本的な治療で治るのですが、侵襲性歯周炎の場合には通常の歯周病の治療ではなかなか治りません。
通常の歯周病の治療とちがい、スケーリング・ルートプレーニングは菌の感染を防ぐため1回でおこなうフルマウスデスインフェクション(FMD)という概念でおこないます。(通常は6回ぐらい分けておこなうのですが)、また薬物(抗菌剤・抗生物質)による治療が有効といわれています。歯周病の薬物療法、抗菌療法をきちんと行うには、原因菌の特定が必須となりDNAレベルの細菌検査が必要になります。
では先日治療が終わった(メインテナンスにはいった)侵襲性歯周炎の患者さんの治療例をご紹介します。
|
![]() |
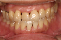
初診時のお口の状態 お口の中はきれいでハブラシもよくやってます。 |
|
![]() |
||
10枚法のレントゲンをとると骨の破壊が異常に進行しています。侵襲性歯周炎が疑われます。 |
||
![]() |
||
細菌検査の結果 PG菌 Tf菌 Tg菌の3つが歯周病の悪玉菌でほとんど正常者には検出されません。患者さんはそのなかでもっとも悪いといわれるPg菌は10パーセントの高い数値がでました。 その菌にあった抗菌剤を処方し、そのあいだにフルマウスデスインフェクション(1回でスケーリング・ルートプレーニングをおこなう治療)をおこないました。 |
||
![]() |
||
![]() |
治療後のお口の状態 初診時に比較して歯肉が引き締まったのがおわかりですか。 |
初診時 |
治療後 (初診時に比較して歯肉が引き締まったのがおわかりですか。) |
![]() |
|
初診時 |
治療後 (初診時に比較して歯肉が引き締まったのがおわかりですか。) |
![]() |
|
治療後の細菌検査 Pg菌は0パーセントになりました。 |
|




