メタルフリー
みなさん今日は、院長の江俣です。
最近当院では、メタルフリーを希望する患者さんが非常に増えたように思います。メタルフリーと言うのは、口腔内にいっさい金属を使用せず、生体親和性の高い材料のみ(セラミックなど)で歯冠修復を行なう事です。口腔内の金属は微量でもイオン化して体内に蓄積する事が解っていますし、金属アレルギーの問題もあります。日本で歯科治療というと歯型を採って銀歯(インレーやクラウン)を詰めるといったものがなじみ深いですが、世界的に銀歯を口腔内に使用することはないのです。
アレルギーの少ない最もカラダにやさしい治療材料を用いて、お口の中を白く、美しく、天然に近い状態で治療していきたいですね。
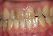
先日メタルフリー(ジルコニア)で前歯4歯治された患者さんは、プロのスポーツ選手です。自分の体に投資するのはとても重要というとで迷わずジルコニアで治すことにしました。
|
![]() |
![]() |
メタルフリージルコニアです。 |

