プチ断食と歯の移植
みなさん、今日は院長の江俣です。
早いもので、気がつくともう五月も今日で終わりですね。
| この頃、食べ過ぎのきらいがあるので胃をリセットする意味で先週末は1日のプチ断食を行いました。 土曜の夜はなにも食べず、完全断食は胃液で胃が荒れると聞いたので、翌日は野菜ジュースやお茶、夜はうどんと野菜ジュースです。暇だと空腹に気がいくので、事務整理などたまっていた仕事をこなしました。1日だけですが、なんだか思ったよりすんなり達成した感じで、感想は「ウーンおなかが減ったな」でした。 |
![]() |
では歯科の話にしましょう。
先週は、歯の移植が希望で当院のホームページをご覧になって栃木市から来院された患者さんの治療が終わりました。
左上奥歯が歯根破折と根の病気のため保存不可能で、本人が不必要な親知らずがあるので移植を希望されました。去年の新着トピックスでもお話しているように、移植できる条件がそろっていれば、歯牙移植が一番いい方法ではないかと考えてます。患者さんもそのことをよくご存知でした。
しかし場合によっては歯牙移植の方がインプラントより時間がかかることがあります。
インプラントは大きさ、規格が決まってますが、移植歯は微妙に形が違いますので、規格化されたドリルもないので、勘で骨を削っていく職人的技術が求められます。
またインプラントは骨とがっちり固定(初期固定といいます)できることが重要ですが、移植はゆるゆるがよいのです。がっちり固定すると歯根膜が死んでしまい失敗します。なんでもそうですが数多くのケースをこなしている経験が大切ということでしょうか。
![]() |
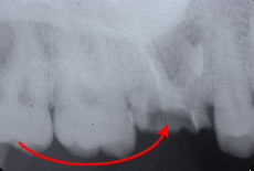
保存不可能な歯の2つ後ろに使ってない親知らずの歯があります。 |
![]() |
|
![]() |
移植歯です。歯根膜(根の周りの赤い部位)がしっかりありますね。 わかっていただくためにカラーにしました。 |
![]() |
|
![]() |
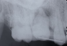
成功するか否かは、いかに傷つけずに丁寧に抜歯するかにかかっているといっても過言ではありません。 |
![]() |
|
![]() |
移植手術後のレントゲン |
![]() |
|
![]() |
移植歯にきれいなセラミッククラウンがはいりました。 |
![]() |
|
![]() |
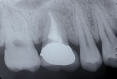
治療後のレントゲン。移植歯は安定しています。 |







