予演会
みなさん今日は院長の江俣です。
| 日曜は今週末に日本顎咬合学会大会で発表する若手10数名の先生の予演会(予行演習)の座長(進行役)をやらせていただきました。学会発表は今回が初めてという先生もいて、本番さながらに時間を測っての予演会でした。9時半から5時までで私も結構疲れました。
自分の仕事を発表するには、診療が終わったあとや、休みの日の自分の時間を削り、大変な時間と労力がかかります。しかし、わたしたち開業医は一人で日々の診療になると自分のやり方や考え方に固執しまいがちにます。よって自分のやってきたことを客観的に見つめなおすことができ、結果的にかならずその医院に来てくださる患者さんの利益につながります。きびしいアドバイスもしましたが本番では頑張ってくださいね。 |
![]() |
では歯科の話しましょう。
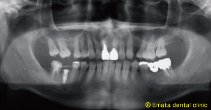
本日のインプラントのオペは、歯牙移植したあとに、その隙間にインプラント治療を埋入したオペでした。ちょっとわかりずらいですね。
患者さんは下顎の奥歯が歯が傾斜して歯周病も進み、残念ですが歯は抜歯の適応です。患者さんは親知らずを何とか移植につかえないかという強い希望がありました。
移植をおこないその移植歯を簡単な矯正(アップライト)し、今日移植歯と自分の歯の間にインプラント治療を行いました。
2歯抜歯してインプラントを2本いれるよりは、時間はかかりましたが、患者さんには喜んでいただきました。

![]() |
親知らずを移植歯につかいました。 |
![]() |
|
![]() |
移植のオペです。 |
![]() |
|
![]() |
インプラントのオペです。 |
![]() |
|
![]() |
手術後のレントゲン |
![]() |
|





