抜歯をしない治療法
みなさん、こんにちは院長の江俣です。
12月になりクリスマスもちかく、イチゴが一気に市場にでてきますね。
一昨日は知り合いの農家に苺を買いに行きました。
![]() |
丁寧にサイズわけしています。 |
![]() |
とちおとめです。 |
では歯科のおはなしにしましょう。
当院はインプラント治療を積極的にとりいれてますし、また日々インプラント治療の研鑽を積んでいます。
しかし抜歯の診断を受けインプラント治療が必要であるといわれ、セカンドオピニオン目的で治療相談を希望される患者さんが、当院では特に最近多くなっています。すべての方ではありませんが、抜歯を回避できるケースも多いです。インプラント治療する歯科医院の件数が増加傾向にあるからだとおもいますが、抜歯の基準が合理的主義のアメリカ型に移行したのでしょうか?それとも現在の複雑な日本の歯科事情が原因なのでしょうか?
では先日ほかの医院で、抜歯と診断されインプラントをすすめられた患者さんの治療例を紹介します。
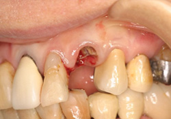
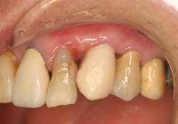
治療前
虫歯がかなり進んでますが
![]() |
![]() |
![]() |
矯正的挺出をおこないました。 |
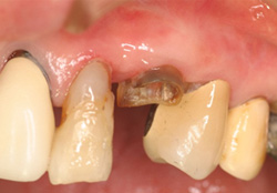
![]() |
クラウンレングスをおこないました。 |
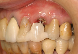
![]() |
治療前と比較して歯がでてきたのがおわかりですか。 |
![]() |
ファイバーポストがはいりました。 |
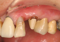
![]() |
仮歯がはいりました。 |
歯を極力抜かずに残す事のほうが何倍も重要なのだと理解して頂きたいのです。
天然の歯に勝るものはありません。








